Home

Betty Lou's Hardware

July 1998

We were weeks away from leaving for Brussels, Belgium, the first of July 1999, when a soreness in Betty Lou's left ankle became increasingly painful. Earlier tests had shown no cause, but now it was determined that the posterior tibialis tendon had ruptured, and earlier enough that it had been absorbed into the body. That is, the ruptured ends could not be reconnected, and a "triple arthrodesis" operation was recommended. Among the three doctors on the East Coast who could perform this operation, Betty Lou chose Georgetown University's Dr. Paul Cooper, who had written many of the articles about this procedure.

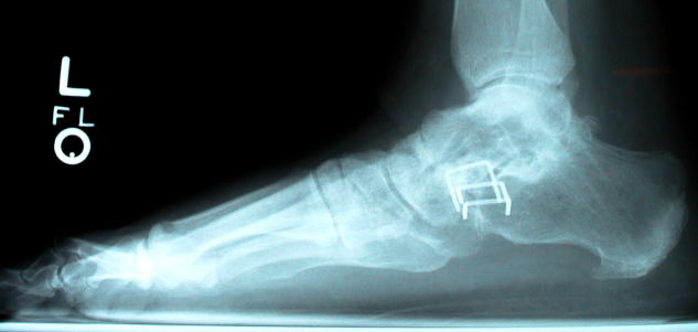
Since the posterior tibialis forms the arch of the foot, it was necessary to replace its function with a permanent arch formed by various bones of the foot. July 28, 1999 Dr. Cooper operated, using titanium screws and staples to hold three joints – the subtalar, calcaneocuboid, and talonavicular – in position until the bones became permanently fused. To make sure the bones fused properly, he also removed some bone from the tibia, just below the knee – necessitating another incision – ground it, and packed it between the four bones involved: the talus, calcaneus, cuboid, and navicular.

Since no weight bearing was allowed on the foot, healing began with three months in a wheelchair. To reduce swelling, a rubber pad, somewhat like a radiator, was taped amidst the initial bandages. Cooling water was pumped through the radiator from an ice chest, which had to be refilled with ice and water every six hours. After a week, the bandages were removed and a hard cast was applied.

The doctors cautioned that undue pressure on the foot, even – particularly – accidentally could necessitate a repeat operation. You can be certain that Betty Lou was very careful about that, although a near disaster occurred almost as soon as we got home. As she hobbled into the house, the right crutch handle came off and she almost fell! It turned out the technician at the hospital that had adjusted the fit had forgotten to replace the wing nut.

I guess this should have been no surprise – it was only the latest in a sequence of misfortunes involving Georgetown Hospital. When I initially called to find out where Betty Lou had been located, they had no record of her. Finally they gave me a phone number, which when I called and asked about her, was in turn asked, "Oh, has she delivered?"

It turned out that she had been forgotten for a couple of hours after she was wheeled from the operating room into a recovery room. When she finally was moved into a room and I could call her, her phone operated only intermittently. When I visited, I examined the pump arrangement – that is I read the instructions on the lid of the ice chest, and found that although there was ice in the chest, no one had added any water.

She told the attending nurse when her dinner was delivered that she thought some of the items weren't allowed on her limited diet. The nurse adamantly reassured her that it was all right. If there can be any pleasure in a vomiting episode, it was that most of it landed on the nurse. Later, when the night attendant tried to raise the foot of her bed, since her leg was supposed to be elevated, he found that that part of the bed was broken. He did offer to call for someone to repair the bed but said that it might take several days.

The next morning, before Betty Lou left, she was given some instructions on how to maneuver her way into and out of a bathroom. During the demonstration the metal cover over the industrial-size roll of toilet paper fell off the wall and hit her on the knee just above where the bone graft was taken. Fortunately it missed the foot. We heard that in the past, after the operation she had, she would have been in the hospital for two nights. We were glad she was out of there before something really serious happened.

Six weeks later the cast was removed (stitches were removed after two weeks, through "windows" that were left in the cast) so the foot could be X-rayed in a natural position to determine that healing was progressing as desired.

Another hard cast was then applied. Or rather mis-applied; it was too tight and she had to return for a more successful application.

A couple of weeks later she began to exert some weight on the foot and cast as she walked with her crutches – beginning at twenty to thirty pounds, as calibrated by pressing the foot on a scale. Every three to four days she increased the force by another twenty to thirty pounds, and after a certain level, she could discard one crutch. Finally the cast was removed, after which she needed several weeks of physical therapy and time for swelling of the foot and ankle to subside so they could cast her for orthotics. During this time she had to wear an "Air Jordan" boot, or at least one with a pump to make it fit snugly.

The orthotics finally came in mid-December, 1999 and she had to start all over with the gradual increase of weight. Once her body got properly aligned again, her knee complained about the change – evidently the boot was thicker than the shoe she was wearing on the other foot – and she had six weeks of physical therapy for that.

After that, and when she was walking fairly well, although not for long distances, she started going to the gym with me (we've been members for over 35 years; originally Holiday, later merged with Bally's; I'd been going regularly during lunch hour for most of that time but a teacher doesn't have that luxury.) Bally's has the same leg machines they had at the Sports Medicine place where she was going to and she also added upper body workouts.

Originally Dr. Cooper had said that he might remove the heel screw because it came so close to the anklebone, but he later determined that it was best to remove all the screws because they could tend to migrate

The removal, in March 2000, was an outpatient procedure and after a week she got the stitches removed. The screw holes, which can still be faintly seen, would fill in within a few weeks. The staples, however, remain, of interest to airport metal detectors.

When I told Dr. Cooper that I was going to put a photo of the screws on the Internet, he suggested that I should auction them off on eBay!

It took a while for her to get walking in shoes again, and back to the gym. It has taken another year to get back to "normal," although she no longer has lateral flexibility in the foot.


1Our airline tickets were "nonrefundable." After Betty Lou's diagnosis, she hobbled into United Airline's Tyson's Corner office on crutches and wearing a protective plastic boot, showed them a note from Dr. Cooper, and described her plight. The office manager said he would have to send the tickets to Chicago for their decision. When we later received our credit card statement, we found that our ticket prices had been refunded a few minutes after we left.

© Copyright 2000 Jack Ludwick - All Rights Reserved
    Home